دکتر مهران خدادادیان
جراح – دندانپزشک
جراحی ۵ واحد ایمپلنت naxis

جراح – دندانپزشک
جراحی ۵ واحد ایمپلنت naxis

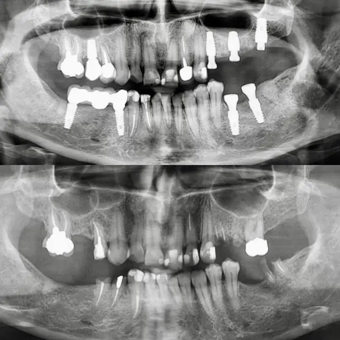
متخصص جراحی دهان، فک و صورت
باز سازی کامل فک با ۱۲ واحد ایمپلنت naxis

جراح – دندانپزشک
جراحی ۲ واحد ایمپلنت naxis
ایمپلنتهای Naxis بهعنوان یکی از برندهای تخصصی و نوآورانه در حوزه ایمپلنتولوژی، طی سالهای اخیر توانستهاند اعتماد گستردهای میان دندانپزشکان و کلینیکهای معتبر بهدست آورند. کیفیت متریال، طراحی مهندسیشده، استحکام بالا و درصد موفقیت اثباتشده، باعث شده این ایمپلنتها در طیف وسیعی از درمانها—از کیسهای ساده تا شرایط پیچیده—به کار گرفته شوند.
دلیل انتخاب ایمپلنتهای Naxis فقط یک موضوع نیست؛ مجموعهای از ویژگیهای فنی، زیباشناختی و بالینی باعث شده این برند در درمانهای واقعی بدرخشد:
طراحی رزوه و اتصال پایدار و ایمن
سازگاری بیولوژیک بالا و کاهش التهابهای پس از جراحی
استحکام تحمل بار در شرایط پیچیده
پروتزی سادهتر و نتیجه نهایی زیباتر
خدمات و پشتیبانی حرفهای شرکت بنساطب (نماینده رسمی Naxis در ایران)
کلینیکها و دندانپزشکان برجستهای از اروپا، خاورمیانه و ایران، با استفاده از ایمپلنتهای Naxis توانستهاند درمانهای ماندگار و قابل پیشبینی ارائه دهند. این مجموعه کیسها بازتابی از نتایج واقعی بیماران و کیفیت قابل اتکای محصولات Naxis است.